マイクロスコープによる精密審美治療
見た目の美しさは、
精密さから生まれる
マイクロスコープで細部まで確認し、
段差や隙間のない高精度な適合を実現。
再発を防ぎ、長く美しさを保つセラミック治療を行っています。
- 削らないノンプレップラミネートベニア
- 自費の審美ダイレクトボンディング
- 金属アレルギー治療にも対応
- 「Qlone」による3Dシミュレーション
当院の「審美治療」
審美治療の目的は、お口元の美しさを追求することにあります。
しかし、歯は見た目だけでなく、噛む機能も非常に重要です。当院のセラミック治療では、「美しさ」と「噛む力」を兼ね備えた歯を提供することを目指しています。以下に詳しくご説明いたします。
身体に優しく、美しさを兼ね備えた素材
歯科治療では、詰め物や被せ物といった人工歯の装着にさまざまな素材が使われます。しかし、一部の素材は「金属アレルギー」などの健康リスクを引き起こす可能性があります。当院では、こうしたリスクを最小限に抑えるために、身体に優しく、見た目にも美しい歯科素材を採用しています。ここでは、当院で活用しているセラミック素材をご紹介いたします。
ジルコニア
ジルコニアは、その美しい外観と優れた強度から「人工ダイヤモンド」とも称されるセラミック素材です。完全に陶器から作られているため、身体に優しく、保険治療で使用される銀歯のように金属イオンが溶け出す心配がありません。また、高い耐久性を誇るため、食いしばる力が強い患者さんにも特におすすめです。
オールセラミック
オールセラミックは、自然な歯に近い色合いと高い強度を兼ね備えた素材で、体に優しい特徴を持っています。このセラミックは、耐久性においてジルコニアセラミックに比べ若干劣るものの、前歯など噛み合わせの力があまり強くかからない部位に最適です。
コラム短期間で終わる白い詰め物「ダイレクトボンディング」
「ダイレクトボンディング」は、歯の詰め物に「コンポジットレジン」という樹脂とセラミックを組み合わせた材料を用いる治療法です。この材料は速やかに硬化するため、治療が短時間で完了します。また、自然な歯の色に近い仕上がりを実現できることも特徴です。以下のような患者さんには、特にダイレクトボンディングをおすすめしています。
✅欠けた歯を手軽に、かつ費用を抑えて修復したい方
✅小さな虫歯をすぐに治したい方
✅銀歯を白い詰め物に替えたい方
この治療法の最大のメリットは、多くの場合、一度の来院で治療が完了する点です。しかし、大きな被せ物が必要な場合には適用できないこともあります。詳細については、ぜひ当院までお気軽にお問い合わせください。
コラム歯を削らない審美治療「ノンプレップラミネートベニア」
ラミネートベニアは、歯の表面を薄く削り、その上に薄いセラミックのシェルを貼りつけることで、歯の色や形を自然に美しく整える治療法です。短期間で優れた仕上がりを実現しますが、歯を削らなくてはならないという点が気になる方も多いでしょう。
そこで注目したいのが、ノンプレップラミネートベニアです。この方法では、歯を削ることなく、特別に薄いセラミックを直接装着します。これにより、天然の歯にダメージを与えることなく、将来的にセラミックを取り外して元の状態に戻すこともできます。
「歯を削ることに不安がある」「口元の美しさを負担なく追求したい」といったお考えの患者さんは、ぜひ私たちにご相談ください。
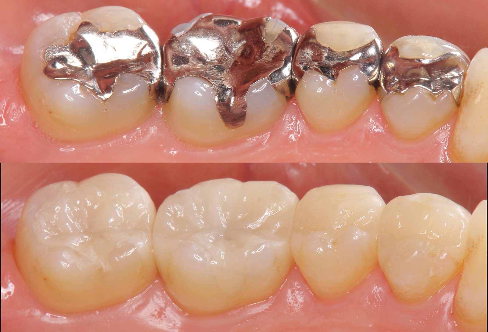
マイクロスコープ/高倍率ルーペによる精密治療
被せ物を施す際、歯と補綴物(歯を補う人工物)との間に微細な隙間が生じることがあります。この微小なズレに細菌が侵入すると、虫歯の再発や被せ物の脱落を引き起こすため、非常に精密な適合が必要です。
私たちは、治療の精度を高めるためにマイクロスコープや高倍率ルーペを活用しています。これらの装置により、治療部位を肉眼の数倍から十数倍にまで拡大して確認できます。その結果、歯と被せ物の境界や細かな形状の凹凸が明確に見えるようになります。このようにして、削る量や調整が必要な箇所を細部まで把握し、天然歯にぴったりと適合する被せ物を装着できます。
また、治療中に細菌が侵入することがないように、自費のセラミック治療では、「ラバーダム」という器具を使用しています。ゴム状のシートで患部を除いてお口を多うことで、最近の侵入をシャットアウトします。
患者さんの理想に寄り添った治療の提供
患者さんが思い描く美しさを実現するには、治療の過程でしっかりとイメージを共有し、調整していくことが大切です。
治療を始める前のカウンセリング
治療を始める前のカウンセリングでは、患者さんの理想とする歯のイメージをじっくりとお伺いします。私たちは、歯の色見本や模型を用いて具体的なイメージを共有し、治療の進むべき方向をしっかりと決めていきます。
模型を用いた具体的なイメージ共有
まず、患者さんの歯形を取ってから、専用の模型を作ります。この模型を使って、歯の形や配置を具体的に確認した後、仮歯を作り、実際のお口にぴったり合うように調整します。
このプロセスを通じて、最終的な仕上がりを事前にご確認いただけます。
コラム治療後のイメージをデジタルでシミュレーション
私たちは、「Qlone Dental」という最新のシステムを活用し、治療後の仕上がりをデジタルでシミュレーションしています。
患者さんの顔写真をもとに、治療後の歯の位置や長さを調整し、お顔に最も調和するデザインを画面上で確認可能です。これにより、患者さんは治療後の見た目を事前に具体的にイメージしやすくなり、治療結果をしっかりと把握できるため、多くの患者さんにご満足いただいています。
神経を残す審美治療
審美セラミック治療では、美しいセラミックの被せ物を装着するために、歯を削ることが一般的です。この際、多くの場合、歯の神経を取る「抜髄」が行われることがあります。しかし、歯の健康を維持するためには、神経をむやみに取ることは避けるべきです。神経を失った歯は栄養を受け取れなくなり、時間とともに弱ってしまいます。
私たちは、審美セラミック治療の際にも、できる限り神経を保存することを大切にしています。
※ただし、症例によっては神経を残せない場合もありますのでご了承ください。
噛み合わせの調整について
セラミック治療においては、美しい見た目だけでなく、適切な噛み合わせも大切です。顎関節症などの問題を未然に防ぐために、仮歯を使って噛み合わせを確認し、問題がないかを慎重にチェックします。
まず、模型を基に仮歯(プロビジョナル・レストレーション)を作成し、実際に患者さんの口に装着します。この際、見た目の美しさだけでなく、以下の点も確認します。
- 噛み合わせに違和感がないか
- しっかりと噛むことができるのか
- 耐久性が十分あるか
特に噛み合わせについては、慎重に確認を行い、必要に応じて何度でも調整を重ねます。患者さんにご納得いただけた場合に、仮歯を基に最終的な被せ物を作成します。
安心の5年保証
当院でセラミック治療を行っていただいた患者さんには、歯科治療保証会社であるガイドデントの5年保証にご加入いただけます。万が一、保証期間内に不具合が生じた場合には、再治療にかかる費用を保証会社が負担いたします。
また、ガイドデントは全国に加盟医院が存在しているため、もしも転勤や進学などで引っ越しをすることになっても、保証を受けることができます。
保証には限度額や、定期的なメンテナンスをお受けいただくなどの適用条件がございます。
詳細につきましては、スタッフまでお気軽にお問い合わせください。
コラム金属アレルギーの治療も行います
金属アレルギーと聞くと、ネックレスやピアスといったアクセサリーがイメージされるかもしれません。しかし、ときには歯科治療で使用される「銀歯」などの材料がアレルギーの原因となることもあります。
・口内炎がなかなか治らない
・アトピー性皮膚炎が悪化した
・原因不明の皮膚トラブルが続いている
これらの症状は、金属アレルギーが関係している可能性があります。思い当たる症状がある方は、一度ご相談ください。
アマルガムの除去も行います
1990年頃までの日本では、虫歯治療の詰め物に「アマルガム」と呼ばれる金属が使用されることがありました。このアマルガムには水銀が含まれており、身体に悪影響を及ぼすリスクがあるとされています。
水俣病の原因となった有機水銀ほど強い毒性はありませんが、頭痛やめまい、慢性的な疲労感といった多くの症状を引き起こす可能性があると考えられています。
もし思い当たる原因のない頭痛やめまい、体調不良にお悩みの方で、過去の詰め物などでアマルガムについて心当たりのある方は、お気軽にご相談ください。
初診「個別」相談へのご案内
当院では、患者さんが抱えていらっしゃるお口のお悩みや疑問・不安などにお応えする機会を設けております。どんなことでも構いませんので、私たちにお話ししていただけたらと思います。
ご興味がある方は下記からお問い合わせください。

- お問い合わせ・ご予約は
- 06-6531-0111
〒550-0014
大阪府大阪市西区北堀江1丁目23‐15
Horie Front 2F
・大阪メトロ四つ橋線「四ツ橋駅」徒歩4分
・大阪メトロ長堀鶴見緑地線
「西大橋駅」徒歩4分