安心して
頼ってほしい
「人生が変わる」ような治療を提供する。
大げさに聞こえるかもしれませんが、
私たちは本気です。
長年コンプレックスだった、
歯並びや歯の色・形。
誰にも見られたくない、ボロボロの歯。
何年も長引く歯の痛み。
どんな悩みも、当院であれば
確かな診断力と技術力で改善できます。
それだけの経験と実績を積んできました
安心して私たちを頼ってください。
自信があります。

四ツ橋駅
・
西大橋駅徒歩4分


質の高い治療で
患者さんの「歯の未来を守る」

安心して
頼ってほしい
「人生が変わる」ような治療を提供する。
大げさに聞こえるかもしれませんが、
私たちは本気です。
長年コンプレックスだった、
歯並びや歯の色・形。
誰にも見られたくない、ボロボロの歯。
何年も長引く歯の痛み。
どんな悩みも、当院であれば
確かな診断力と技術力で改善できます。
それだけの経験と実績を積んできました
安心して私たちを頼ってください。
自信があります。

院長/歯科医師


歯科医師

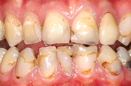
CASE1


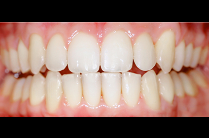
虫歯と歯周病でボロボロだったを歯。審美セラミック治療で、見た目も噛む力も回復。
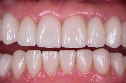
CASE2


インプラントと審美セラミック治療で、天然歯のような自然で美しい歯に。
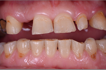
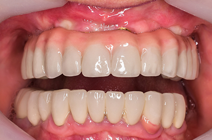
CASE3


入れ歯が合わなかった患者さん。オールオン6でしっかり噛める歯へ。
CASE4


八重歯にコンプレックスを抱えていた患者さん。インビザラインで整った歯並びに。

大阪メトロ四つ橋線「四ツ橋駅」徒歩4分/大阪メトロ長堀鶴見緑地線「西大橋駅」徒歩4分の立地にある歯医者、医療法人英歯会「堀江マイクロデンタル・矯正歯科」です。治療精度と患者さんの満足を高めるための4つの取り組みをご紹介します。成功率を向上させる「精密機器」、再発を防ぐ「原因療法」、虫歯や歯周病を早期発見「簡易歯科ドック」、厳格なヨーロッパ基準の「滅菌体制」。他院で治療を断られた患者さんを始め、大阪府外からも多く患者さんが来院されます。

安心の10年保証

患者さんの負担が少ない、切らない・縫わない・腫れない「フラップレスインプラント」治療に対応。

抜歯と同時に噛める歯を入れる「All-on-6(オールオン6)」や「抜歯即時荷重」に対応しています。


相談料・調整料0円

透明で取り外しできるマウスピース矯正「インビザライン」に対応。豊富な症例実績があり、「ゴールドプロバイダー」認定されています。

気になる前歯だけの矯正や、後戻りの矯正にも対応。横顔を美しく見せるEライン矯正も行っています。


安心の5年保証

フェイススキャナー「Qlone Dental Pro」で顔貌を立体的にスキャン。お顔全体と調和した自然で美しい歯を設計します。

歯をほぼ削らない「ノンプレップラミネートベニア」に対応。痛みが少なく、自然な仕上がりです。


プライバシーに配慮個室診療室

精密検査の結果を共有し、治療計画/期間/費用を明確に説明。理解と納得を得た上でのみ治療を行っています。

表面麻酔や極細針、伝達麻酔などを駆使し、ほとんど痛くない治療を実践しています。


大阪府大阪市西区北堀江の歯医者、医療法人英歯会「堀江マイクロデンタル・矯正歯科」のホームページをご覧いただき、ありがとうございます。当院では、虫歯治療を始め、抜歯を回避する治療、歯周病、下がった歯ぐき治療/知覚過敏、精密根管治療、破折歯の治療、精密インプラント、入れ歯、削る量が少ないブリッジ、ホワイトニング、審美セラミック治療、ガミースマイル、大人の矯正歯科、セラミック矯正、歯のメンテナンス/プチ歯科ドック、ボロボロの歯の治療、顎関節症/食いしばり/歯ぎしりなど幅広く対応。「四ツ橋駅」より徒歩4分、「西大橋駅」より徒歩4分の立地にあり、2路線使用いただけます。大阪府外からも、多く患者さんが来院されます。