歯ぐきが下がって
お悩みの方へ
歯ぐきが下がると、見た目の問題だけでなく
さまざまなトラブルを引き起こします。
- 冷たい飲み物で歯がしみる
- 歯が長く見えて老けた印象になる
- 歯の根が露出し、むし歯になりやすい
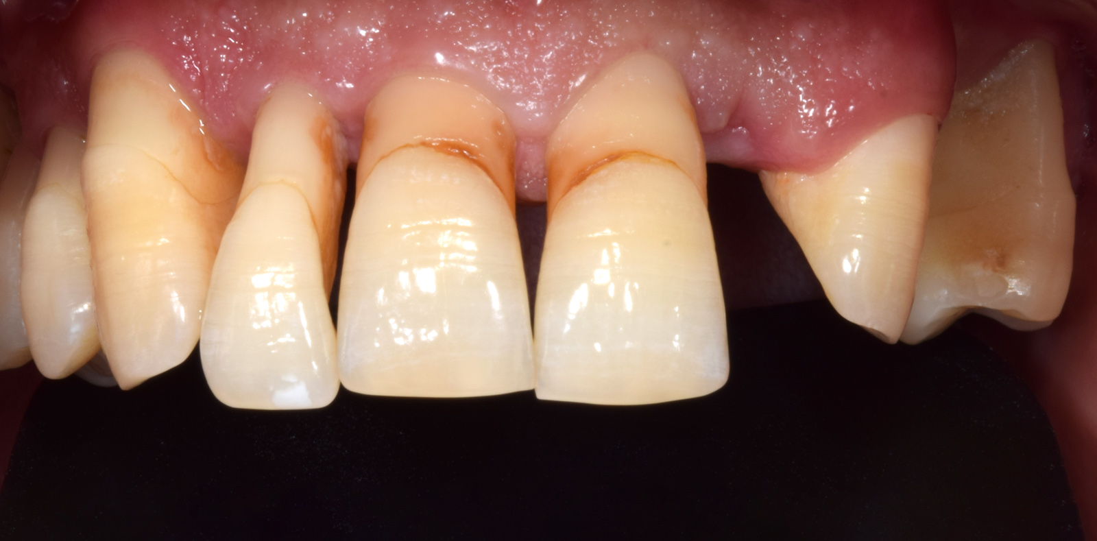
歯ぐきが下がってしまう原因
歯ぐきが下がると歯の根が露出し、知覚過敏や虫歯のリスクが高まります。進行すると歯を支える骨も減り、歯が失われる原因になることもあります。また、歯が長く見えるなど、見た目の問題も発生してきます。
歯ぐきが下がってしまう原因として、次のようなことがあげられます。
- 歯周病による組織の破壊
- 強すぎる歯みがき
- 加齢による変化
- 噛み合わせの不具合
これらは患者さんそれぞれの原因を正しく見極めることで、改善できます。
当院では精密検査を行い、症状に合わせた最適な治療法をご案内します。
歯ぐきを守る「根面被覆術」
根面被覆術は、下がった歯ぐきを元の状態に戻す治療です。
具体的には、上の歯の裏側から自分の歯ぐきの一部を採取して、下がった部分に貼り付けて縫います。自分の歯ぐきなので拒絶反応が起こらず、移植元の歯茎を採取した部分も元通りに再生します。
この治療を行うことで、次のような効果が期待できます。
・冷たいものや甘いものがしみるといった知覚過敏の改善
・歯の根を守り、むし歯を予防
・歯ぐきのラインが整うことで、自然で健康的な見た目に
このように、根面被覆術では見た目と健康の両方を取り戻すことができます。
治療の流れと安心サポート
治療は次のようなステップで進みます。
STEP①カウンセリングでお悩みをお伺いします
はじめにカウンセリングを行います。
治療するにあたって、現在お持ちのお悩みについて伺うほか、治療に関して不安なことや疑問点などについてもお答えします。何でもお気軽にご相談ください。
STEP②精密検査を実施
混綿被覆術では、治療の際に手術を行います。安全に手術を行うために、事前にCTやレントゲンを用いた精密検査を行います。
STEP③治療計画をご説明し、ご納得いただいてから手術へ
精密検査の結果を踏まえて、担当する医師から手術についてご説明させていただきます。
手術によって期待できる効果のほか、手術の内容やそれに伴うリスクについても丁寧にご説明させていただきます。
これらのご説明を踏まえ、手術について患者さん自身にご納得いただいてから、手術を行います。
STEP④歯肉移植の手術
患者さんの同意が得られたら、手術を行います。
手術はしっかり麻酔の効いた状態で行いますので、ご安心ください。十分に麻酔が作用したことが確認できたら、移植元となる上あごから歯肉を採集して歯茎へ移植、縫合して固定します。
STEP⑤術後の経過確認とメンテナンス
手術が終わった後も定期的に通院していただきます。
移植した歯ぐきがしっかりと定着しているか確認するほか、移植した歯ぐきを中心にメンテナンスをおこないます。
治療後のケアと再発防止
術後は一時的に腫れや違和感が出ることもありますが、数日で落ち着きます。治療の効果を長持ちさせるためには次のことが大切です。
- 正しいブラッシングの習慣
- 定期検診によるチェック
- 専門的なクリーニング
当院では、治療後も長期的にサポートし、健康な歯ぐきを守り続けます。
初診「個別」相談へのご案内
当院では、患者さんが抱えていらっしゃるお口のお悩みや疑問・不安などにお応えする機会を設けております。どんなことでも構いませんので、私たちにお話ししていただけたらと思います。
ご興味がある方は下記からお問い合わせください。

- お問い合わせ・ご予約は
- 06-6531-0111
〒550-0014
大阪府大阪市西区北堀江1丁目23‐15
Horie Front 2F
・大阪メトロ四つ橋線「四ツ橋駅」徒歩4分
・大阪メトロ長堀鶴見緑地線
「西大橋駅」徒歩4分